At Durham Orthodontics we believe exellent orthodontic results can only be achieved with open communication with our patients and special attention to the details of their care. We also understand that experience matters. With over 15 years of orthodonitc experience Dr. Nikolovski has succesfullly treated thousands of orthodontic cases to completion creating incredible results and inspiring journeys.
Please browse through 100 comprehensive orthodonitc cases treated by Dr. John Nikolovski and discover why everyone in the Durham region is smiling!

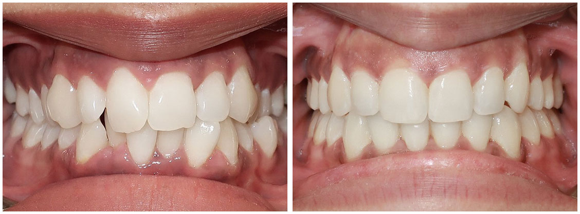
Case 001
- Teenager
- Metal Braces
- Crowding
- Blocked Out Canine

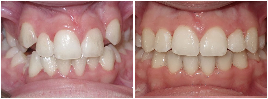
Case 002
- Teenager
- Metal Braces
- Severe Crowding
- Premolar Extraction Treatment

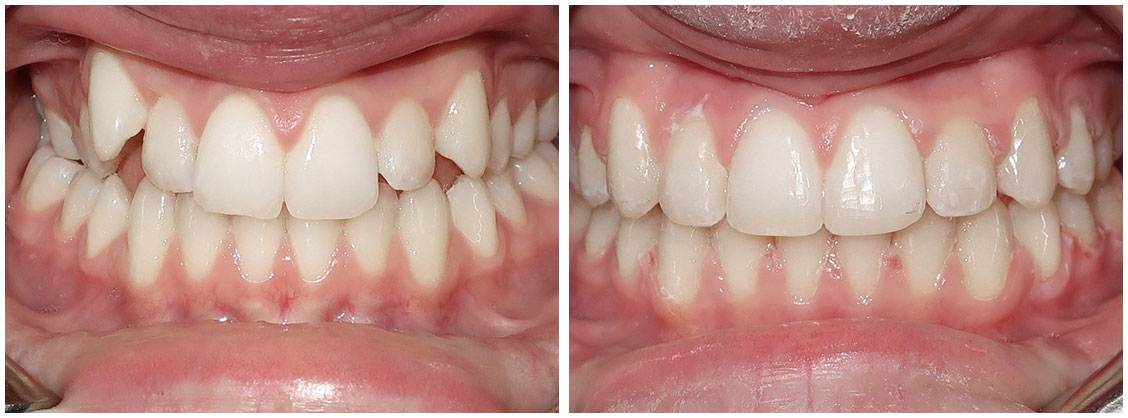
Case 003
- Adult
- Metal Braces
- Class III Underbite
- Corrective Jaw Surgery

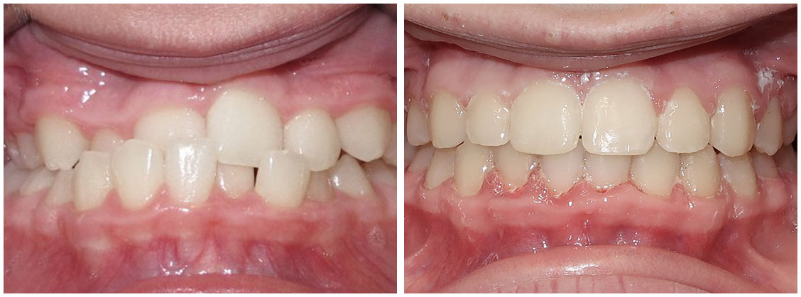
Case 004
- Teenager
- Metal Braces
- Severe Crowding
- Premolar Extraction Treatment

Case 005
- Teenager
- Metal Braces and Palatal Expander
- Severe Crowding
- Posterior Crossbite

Case 006
- Teenager
- Metal Braces
- Severe Crowding
- Anterior Crossbite

Case 007
- Teenager
- Metal Braces
- Severe Crowding
- Premolar Extraction Treatment

Case 008
- Teenager
- Metal Braces
- Severe Crowding
- Premolar Extraction Treatment

Case 009
- Teenager
- Metal Braces
- Severe Crowding
- Posterior Crossbite

Case 010
- Teenager
- Metal Braces
- Severe Crowding
- Premolar Extraction Treatment

Case 011
- Teenager
- Metal Braces
- Severe Crowding
- 4 Premolar Extraction Treatment

Case 012
- Teenager
- Metal Braces
- Severe Crowding
- Premolar Extraction Treatment

Case 013
- Teenager
- Metal Braces
- Severe Crowding
- Premolar Extraction Treatment

Case 014
- Teenager
- Clear Braces
- Moderate Crowding
- Premolar Extraction Treatment

Case 015
- Teenager
- Metal Braces
- Moderate Crowding
- Non Extraction Treatment

Case 016
- Teenager
- Metal Braces
- Severe Crowding
- Severe Deep Overbite

Case 017
- Teenager
- Invisalign
- Moderate Spacing
- Deep Overbite

Case 018
- Teenager
- Invisalign
- Moderate Spacing
- Non Extraction Treatment

Case 019
- Adult
- Metal Braces
- Skeletal Class III Underbite
- Corrective Jaw Surgery

Case 020
- Teenager
- Metal Braces
- Moderate Spacing
- Moderate Overjet

Case 021
- Teenager
- Clear Braces
- Crowding
- Non Extraction Treatment

Case 022
- Teenager
- Metal Braces
- Mild Spacing
- Overjet

Case 023
- Preadolescent
- Metal Braces
- Anterior Crossbite
- Early Interceptive Treatment

Case 024
- Teenager
- Metal Braces
- Crowding
- Blocked Out Canine

Case 025
- Adult
- Metal Braces
- Crowding and Underbite
- Premolar Extraction Treatment

Case 026
- Adult
- Metal Braces
- Moderate Crowding
- Flared Incisors

Case 027
- Teenager
- Invisalign
- Mild Spacing
- Deep Overbite

Case 028
- Adult
- Metal Braces
- Anterior Openbite
- Non Surgical Treatment

Case 029
- Preadolescent
- Metal Braces
- Anterior Crossbite
- Early Interceptive Treatment

Case 030
- Teenager
- Metal Braces
- Moderate Spacing
- Moderate Overjet

Case 031
- Teenager
- Metal Braces
- Severe Crowding
- Blocked Out Canines

Case 032
- Teenager
- Metal Braces
- Severe Crowding
- Blocked Out Canines

Case 033
- Teenager
- Metal Braces
- Severe Crowding
- Deep Overbite

Case 034
- Teenager
- Metal Braces
- Severe Crowding
- Localized Anterior Crossbite

Case 035
- Adult
- Metal Braces
- Mild Spacing
- Anterior Open Bite

Case 036
- Teenager
- Metal Braces
- Spacing and Overbite
- Canine Substitution

Case 037
- Adult
- Metal Braces
- Severe Spacing
- Underbite

Case 038
- Teenager
- Metal Braces
- Moderate Crowding
- Blocked Out Canine

Case 039
- Teenager
- Metal Braces
- Severe Crowding
- 4 Premolar Extraction Treatment

Case 040
- Teenager
- Metal Braces
- Severe Crowding
- Non Extraction Treatment

Case 041
- Teenager
- Metal Braces
- Crowding and Deep Overbite
- Non Extraction Treatment

Case 042
- Teenager
- Metal Braces
- Crowding
- Non Extraction Treatment

Case 043
- Teenager
- Metal Braces and Expander
- Posterior Crossbite
- Anterior Open bite

Case 044
- Teenager
- Metal Braces
- Severe Crowding
- Non Extraction Treatment

Case 045
- Teenager
- Metal Braces
- Severe Crowding
- 4 Premolar Extraction Treatment

Case 046
- Teenager
- Metal Braces
- Deep Overbite
- Non Extraction Treatment

Case 047
- Teenager
- Metal Braces
- Severe Crowding
- Blocked Out Canine

Case 048
- Teenager
- Metal Braces
- Deep Overbite
- Moderate Crowding

Case 049
- Teenager
- Metal Braces
- Severe Crowding
- Flared Incisors

Case 050
- Teenager
- Metal Braces
- Severe Crowding
- Deep Overbite

Case 051
- Preadolescent
- Metal Braces
- Anterior Crossbite
- Early Interceptive Treatment

Case 052
- Adult
- Invisalign
- Moderate Crowding
- Anterior Crossbite

Case 053
- Teenager
- Metal Braces
- Severe Crowding
- Premolar Extraction Treatment

Case 054
- Teenager
- Metal Braces
- Severe Spacing
- Deep Overbite

Case 055
- Teenager
- Metal Braces
- Severe Crowding
- Deep Overbite

Case 056
- Teenager
- Metal Braces
- Moderate Crowding
- Deep Overbite

Case 057
- Adult
- Clear Braces
- Severe Crowding
- Premolar Extraction Treatment

Case 058
- Teenager
- Metal Braces
- Spacing
- Deep Overbite

Case 059
- Teenager
- Metal Braces
- Spacing
- Deep Overbite

Case 060
- Preadolescent
- Metal Braces
- Anterior Crossbite
- Early Interceptive Treatment

Case 061
- Adult
- Clear Braces
- Severe Crowding
- Premolar Extraction Treatment

Case 062
- Teenager
- Metal Braces
- Deep Overbite
- Blocked Out Canine

Case 063
- Teenager
- Metal Braces
- Deep Overbite
- Blocked Out Canine

Case 064
- Adult
- Metal Braces
- Severe Crowding
- Deep Overbite

Case 065
- Adult
- Clear Braces
- Moderate Crowding
- Posterior Crossbite

Case 066
- Teenager
- Metal Braces
- Moderate Crowding
- Blocked Out Canine

Case 067
- Teenager
- Clear Braces
- Deep Overbite
- Moderate Spacing

Case 068
- Teenager
- Metal Braces
- Severe Crowding
- Premolar Extraction Treatment

Case 069
- Teenager
- Metal Braces and Expander
- Severe Crowding
- Posterior Crossbite

Case 070
- Adult
- Clear Braces
- Severe Spacing
- Non Extraction Treatment

Case 071
- Teenager
- Metal Braces
- Severe Crowding
- Blocked Out Canines

Case 072
- Teenager
- Metal Braces
- Severe Crowding
- Premolar Extraction Treatment

Case 073
- Teenager
- Metal Braces
- Severe Crowding
- Premolar Extraction Treatment

Case 074
- Adult
- Metal Braces
- Severe Spacing
- Premolar Extraction Treatment

Case 075
- Teenager
- Metal Braces
- Severe Crowding
- Non Extraction Treatment

Case 076
- Teenager
- Metal Braces
- Severe Crowding
- Localized Anterior Crossbites

Case 077
- Teenager
- Metal Braces
- Anterior Crossbite
- Non Surgical Treatment

Case 078
- Teenager
- Metal Braces
- Crowding
- Anterior crossbites

Case 079
- Preadolescent
- Metal Braces
- Localized Anterior Crossbite
- Early Interceptive Treatment

Case 080
- Teenager
- Invisalign
- Spaces
- Midline Discrepancy

Case 081
- Teenager
- Metal Braces
- Crowding
- Blocked Out Canines

Case 082
- Teenager
- Metal Braces
- Crowding
- Blocked Out Canines

Case 083
- Teenager
- Metal Braces
- Crowding
- Deep Overbite

Case 084
- Adult
- Metal Braces
- Class III Underbite
- Corrective Jaw Surgery

Case 085
- Teenager
- Metal Braces
- Severe Crowding
- Premolar Extraction Treatment

Case 086
- Teenager
- Metal Braces
- Severe Crowding
- Premolar Extraction Treatment

Case 087
- Teenager
- Metal Braces
- Severe Spacing
- Blocked Out Canine

Case 088
- Teenager
- Metal Braces
- Severe Moderate Spacing
- Blocked Out Canine

Case 089
- Adult
- Clear Braces
- Posterio Crossbite
- Premolar Extraction Treatment

Case 090
- Teenager
- Metal Braces
- Severe Crowding
- Palatal Expander

Case 091
- Adult
- Metal Braces
- Severe Crowding
- Non Extraction Treatment

Case 092
- Adult
- Metal Braces
- Severe Crowding
- Blocked Out Canine

Case 093
- Teenager
- Metal Braces
- Severe Crowding and crossbite
- Palatal Expander

Case 094
- Teenager
- Metal Braces
- Severe Crowding
- Deep Overbite

Case 095
- Teenager
- Metal Braces
- Moderate Spacing
- Blocked Out Canine

Case 096
- Teenager
- Metal Braces
- Severe Crowding
- Deep Overbite

Case 097
- Teenager
- Mild crowding
- Severe Deep Overbite
- Invisalign

Case 098
- Teenager
- Metal Braces
- Severe Crowding
- Non Extraction Treatment

Case 099
- Teenager
- Crowding
- Deep overbite
- Invisalign Treatment

Case 100
- Adult
- Clear Braces
- Spacing and Overjet